Trepanation is defined as the removal of a bone piece of the skull of a living individual without penetration of the underlying soft tissues. Trepanation is accepted as the oldest form of surgical operation.

Acemhöyük trephination from the lateral view
Cranial trepanation among ancient populations was independently practiced in many areas of the world. Since the year 1958, when the first publication on trepanation in Anatolia was made, the examples have reached to an important number in the last 20 years.
Forty individuals from 23 different Anatolian settlements are identified to have been subjected to trepanation.
One of the most widespread techniques of trepanation in Anatolia is drilling. The frequency is about 32.5%. The oldest examples of this technique were observed on Aşıklı and Çayönü skulls. Neolithic and Chalcolithic Age trepanations were generally quite small in size and ranged from six to 11.5 mm in diameter. The only case on which drilling technique was performed in Bronze Age was from the Acem Höyük. The drilling technique commonly used in the Roman Period also (71.4%). The drilling technique was used in the two of the trepanations dated to the medieval period.
Drilling was the oldest technique in Anatolia, but it was used until the Ottoman period and it continues to be used nowadays in neurosurgery in modern clinics.
Scraping is defined as removing the required area of bones by gradually scraping away bone tissues. With 12.5 per cent, scraping is the least frequently used technique in Anatolian cases. The İkiztepe individual (SK 404) constitutes the earliest example of scraping technique (two more cases of this kind are: a middle aged female from Bakla Tepe and one male individual from Cevizcioğlu Çiftliği). Two scrapped trepanations were detected in Nicaea Roman Amphitheater that used a cemetery in the Byzantine period.
Some of the researchers believe that the oldest technique of trepanning is scraping. This technique has been used since the Neolithic until the present day. However, this technique was first observed in Anatolia after the first half of 3rd millennium BC and continued to be used until the medieval period.
Sawing technique can be described as a series of cuts drawn and redrawn on the skull with a sharp instrument, until a piece of bone in a circular, ovoid or rectangular form between the grooves becomes loose and can be removed. Sawing was the most common technique that was seen in Anatolia (37.5%).
The earliest examples with irregular shaped or un-described form were unearthed from Kurban Höyük and Kültepe (there is also a case of trepanation of this kind in İkiztepe).
There exist examples on which the cutting procedure was done in a circular or ovoid plan in Anatolia (two individuals from Küçük Höyük and İkiztepe. Other examples showing an area cut in the circular plan were dated to the Byzantine period).
The earliest examples of the rectangular sawing technique (The cutting technique in which four straight incisions are made, intersecting at rightangles and the in-between fragment is removed) were encountered in the Bronze age. Its typical examples were represented by two individuals from İkiztepe (SK536 and SK 603) and one individual from Çavlum. The latest skeletal remains which were trepanned by the rectangular sawing technique were dated to the Ottoman period. The frequency of this technique among the Anatolian trepanations was 10%.
In the boring-and-cutting technique, the bone is perforated by a drill of closely adjoining perforations, which are then connected by cuts a sharp instrument. This technique was observed on five individuals (12.5%) in Anatolia (Two middle adults from Karagündüz in the Province of Van, an adult female from Hakkari, two other examples from Van-Dilkaya). From the examples at hand, it can be said that the boring-and-cutting technique was restricted to the Eastern Anatolian during Iron Age.
(Source: “A Retrospective Study on Trepanation in Anatolia”, by Yılmaz Selim Erdal, 2010)

Acemhöyük trephination from the posterior view
The healing or success of trepanations
Whether it was the result of the surgical skill of the surgeon, or the result of the magical mixture, it is certain that the operation was usually very successful. Post-operative infection associated with wounds may be identified on archaeological bones by detecting the presence of osseous spicules or multiple vascular pits on the bone surfaces around trepanations. One of these wise men or tribal surgeons had done 31 cases, with a mortality of 8 to 25%, which compared with a mortality of 75% in London teaching hospitals of the 1860s and 1870s. It has been suggested that 50–80% of people undergoing trephination could be expected to live. Stewart (1958) suggested that 55.6% of the trepanations collected in the U.S. National Museum were completely healed and 16.4% showed signs of onset of healing. Seventy-one pre-Columbian Peruvian Inca skulls were analysed with CT and it was observed that 64.8% of the skulls had complete healing, 12.7% had partial healing and only 22.5% had no evidence of healing. Evidence of survival was 80% of Mexican trepanations and 90% of Canadian and USA trepanations. Rifkinson-Mann (1988) suggested that 70% of the trepanations were healed, and 13 out of the 24 cases (54%) showed clear evidence of bony reaction, leaving a slim percentage of the skulls (15%) that had skeletal inflammatory reactions. In Anatolia, 60% of the people survived after the trepanations and these results were confirmed with macroscopic research, X-ray analysis and CT analysis. Out of 24 samples identified with healing, traces of long-term healing were detected on 21 specimens. Traces of survival were identified on the Dilkaya specimen by histological analysis while only a cicatrised area was detected on the Asıklı and Acem Höyük cases. Individual chances would, of course, depend on the skill of the surgeon, the extent and seriousness of the primary injury, the chances of infection before and after the operation, and any damage that might occur to the brain, accompanying blood vessels, or other associated structures by the initial injury or by the procedure itself. There also seems to besome relationship between technique and probability of survival. The highest number of signs of long term healing in the Anatolian trepanations was observed in cases where the scraping technique was applied, as also witnessed in other parts of the world. All of the five trepanations on which the technique was employed healed successfully. Another technique where a high rate of healing occurred was the sawing technique other than the rectangular sawing. Long term healing was identified on the nine (81.8%) out of 11 cases constituting this group. It is shown that the survival rate of the rectangular sawing techniques was very low, close to zero. In rectangular sawing performed in Anatolia, the mortality frequency was 75% (three out of four individuals died) and the long-term healing frequency was zero. In the case of the drilling technique, more than half of the 13 cases (53.8%) showed success. On the other hand, individuals with boring-and-cutting trepanation did not show evidence of healing in most cases, as seen in the South American examples. As for the Anatolian examples of the boring-and-cutting technique, no signs of long-term healing were found either on the five typical cases or on the possible case from Perge. The relationship between healing and the trepanation techniques were statistically significant. Healing rates also show differences through periods. While the frequency of healing among the cases from the Neolithic-Chalcolithic Ages (two out of five individuals healed) and the Bronze Age (six out of 12 individuals healed) was 50%, this rate decreased to its lowest level at 20% in the Iron Age. The relatively low success frequencies observed during these periods were attributable mainly to the techniques chosen for surgery. No long-term healing was observed on the trepanations which were performed by employing rectangular sawing during the Bronze Age or by applying the boring-and-cutting technique during the Iron Age. The healing frequency observed as 75% during the Roman period increased to 85.7% in the Byzantine period. All trepanations dated to the Ottoman period showed signs of healing. These findings indicate that the possibility of successful trepanation applications was quite high in Anatolia, particularly during the Roman, Byzantine and Ottoman periods, and that the frequency of success increased in time. The differences between healing and the periodare statistically signifant.
Conclusion
At the end of this study, it can be concluded that trepanations in Anatolia were not restricted to a small area and that they were widely distributed to almost all regions and periods. Although trepanations were more commonly applied to females during the Neolithic and Chalcolithic periods, an analysis of the entire data through all periods revealed that male individuals were subjected to the procedure more frequently. Anatolia, just as South America, especially Peru, is a region where all known trepanation techniques were performed. In the light of available information, it can be said that the early cases of trepanation were practiced by drilling. The scraping and rectangular sawing techniques were first applied in the Early Bronze Age. The boring-and-cutting technique was only applied in the Iron Age. However, a very similar case of this technique was found in the Roman period, in Perge. The main purpose of the trepanations was cranial trauma in Anatolia. Reasons other than cranial trauma were also taken into consideration for trepanation in Anatolia, i.e. tumour and training. However, no clear evidence supporting the religious and magical reasons was discovered. All the cases of trepanations were observed on adult individuals and more than half of the cases survived after the surgical procedures. The healing rate of the trepanations seems to be in high correlation with the applied techniques. The probability of healing is the highest in the scraping technique whereas it is the lowest in the rectangular sawing technique and boring-and-cutting. No evidence of long-term healing has been found on any of the individuals on which the boring-and-cutting was applied. It can be said that trepanation techniques used in Anatolia are similar to ones observed in South America and the Mediterranean region rather than the ones in Europe.
(Source: “A review of trepanations in Anatolia with new cases”, by Yılmaz Selim Erdal and Ö. Dilek Erdal, 2010)

Trephined skull from Acemhöyük -endocranial view
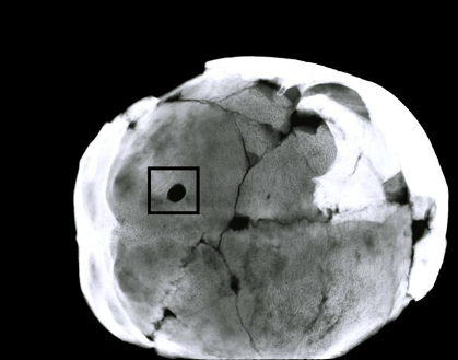
Abstract Trephination is known as one of the oldest forms of brain surgery. It has been identified in the remains from many archaeological sites from the Old and New continents. Anatolia also has several historical stratigraphy and trephination cases that have been described from various time spans and from different locations. Anthropological studies on Anatolian skeletal remains determined that trephination had been practised from Neolithic times to the period of the Ottoman Empire. This paper focuses on one of the ancient brain drilling surgical methods that was discovered on a skull at Acemhöyük, Aksaray-Turkey the site corresponds directly to the Old Assyrian Colony Period in Central Anatolia. Surgery had been performed on the left lambdoid suture of a middle aged female individual. During the first step in macroscopic analysis no significant evidence of healing was observed. However, radiological observation demonstrated that the individual did, indeed, survive for a certain time after the drilling surgery.
(Source: “A middle bronze age case of trephination from central Anatolia, Turkey”, by
Aysen Açıkkol et al., 2009)

Radiograph of Acemhöyük skull from the basal view. Trephination hole lies on the lambdoid
This study presents a case of trephinated skull from 600 B.C., also presenting other skulls from different excavation sites belonging to the Antique age Anatolia.
The frontal bone piece was discovered in 2002 by the author Ercan Nalbantoglu during a survey of Assos skeletal remains. It was originally found in a tomb in 1991 in the necropolis of Assos (Behramkale) excavations in Canakkale, Western Anatolia. Sex and age were determined on the basis of common anthropological methods. The size of the trephination was made using a millimeter graph. Post-operative survival evidenced by the presence of bone growth was evaluated.
The trephination belongs to an adult female and is located at the frontal region on the right side. The defect resembles a half-triangle in shape with smooth sloping edges. There is complete lack of evidence to support a violent origin for this frontal bone, and temporal and occipital bones of the skull that were found together. The largest diameter of the trephination is 27 mm. The borders of the trephination indicate both drilling and scraping techniques were used. It is assumed that the individual survived after the operation based on the borders of the opening being beveled and cicatrized, indicating complete healing.
The first trephination case reported from Anatolia was by Senyurek (1958) from Kultepe (Kayseri, Central Anatolia) found in 1954 during Kultepe excavations organized by Professor Tahsin Ozguc on an adult male skull, approximately 50 years old. The trephination belonged to Bronze Age, 2000 BC. The trephination was on the occipital bone and the smooth bone surfaces suggested that this individual survived the trauma.
Ozbek reported cases of trephination from three different regions. His first report was the most recent trephination case from Anatolia, belonging the Byzantine period was found in 1985 in a late Byzantine necropolis from Iznik (Bursa, Western Anatolia). The trephination was observed on an adult male as a big hole on bregma with a 75X50 mm diameter, and traces of a perforating wound on the bone were observed on the parietal bone, which was claimed to be the possible reason for the trephination. This individual survived after the operation. He reported another case of trephination found in 1978, from Neolithic Age in Cayonu (Diyarbakir, Southeastern Anatolia) on a young male on the parietal bone, 8-10 mm in diameter.
Another case reported by Ozbek (1992) was from Aceramic Neolithic Period in Asikli (Aksaray, Central Anatolia). The trephination was 11 mm in diameter, on the occipital region of a young woman.
Backofen (1985) and Cireli et al. (1993) reported three trephination cases from Ikiztepe (Samsun, Northern Anatolia) found by paleo-anthropologist Ercan Nalbantoglu in the excavations headed by Professor Bilgi. One of the trephinations was on the lambdoid suture and the other two on the vertex of the skull. All three trephinations were done by scraping. These belonged to Bronze Age and showed signs of bone repair Gulec (1988) reported two cases of trephination from 900-700 B.C., observed in Dilkaya (Van, Eastern Anatolia). The first case belonged to a young woman, located just behind the bregma point, ellipsoid in shape and 50X27.5 mm in size. Thirteen small drill holes were found around this trephination site. The individual survived after the operation. The second case was observed on the parietal bone, round in shape and 19 mm in diameter, with 5 small drill holes around.
Deniz and Sentuna (1989) reported a trephination case from Neolithic Age in Kurucay Hoyuk (Burdur, Central Anatolia) on the right parietal bone of an adult, as three trephinations, each of them 5 mm in diameter.
(Source: “Trephination in Anatolia: Case Report and Review”, by Ercan Nalbantoglu and Gulgun Sengul, 2013)

Trephination case from Assos. Note the borders of the opening are beveled and cicatrized, indicating healing
Research-Selection for NovoScriptorium: Maximus E. Niles & Philaretus Homerides